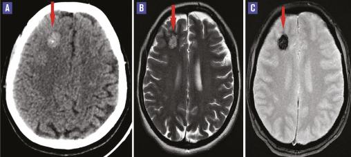
Cette femme de 43 ans, sans antécédent particulier, consultait aux urgences pour une crise convulsive tonico-clonique généralisée. À l’examen clinique post-critique, la patiente était consciente et stable. La tomodensitométrie (TDM) cérébrale montrait une lésion frontale juxtacorticale droite, spontanément dense contenant une calcification et non rehaussée après injection de contraste (fig. A ). Sur l’imagerie par résonance magnétique (IRM), la lésion apparaissait en hypersignal hétérogène contenant quelques hyposignaux sur les séquences pondérées T2 et T1, avec un hyposignal hétérogène sur la séquence T2* réalisant l’aspect en « pop-corn » (fig. B et C ). Devant le contexte clinique et cet aspect en « pop-corn », le diagnostic de cavernome frontal droit a été retenu. La patiente a été mise sous traitement symptomatique, avec persistance de quelques rares épisodes convulsifs.
Les cavernomes sont des malformations vasculaires caractérisées histologiquement par des formations capillaires dilatées (cavernes), entourées d’une paroi endothéliale et d’un fin tissu conjonctif sans interposition de tissu nerveux. C’est une pathologie bénigne mais potentiellement grave en raison du risque d’hémorragie, qui peut être fatale. Le tableau clinique est varié et non spécifique, dominé par les crises convulsives surtout dans les localisations corticales et l’hémorragie. La TDM, non spécifique et parfois normale, peut révéler une lésion corticale ou juxtacorticale, spontanément dense, légèrement inhomogène, siège de calcifications dans 40 à 50 % des cas, entourée ou non d’un halo hypodense périphérique. L’IRM est l’examen de choix. Non pathognomonique, mais très caractéristique, l’aspect typique est celui de « pop-corn » ou « poivre et sel », associant hyper- et hyposignal sur les séquences pondérées T2, entouré par une fine couronne hypo-intense en T1 et T2.1 En fonction de leur cause, on distingue les cavernomes sporadiques (les plus fréquents) dont l’étiopathogénie demeure encore obscure, les cavernomes familiaux, secondaires à une mutation génétique à transmission autosomique dominante, et les cavernomes radio-induits.
Le traitement est symptomatique pour les formes cliniquement expressives et chirurgical pour les formes rebelles au traitement médical.
Le traitement est symptomatique pour les formes cliniquement expressives et chirurgical pour les formes rebelles au traitement médical.
Référence
1. Hegde AN, Mohan S, Lim CC. CNS cavernous haemangioma: « popcorn » in the brain and spinal cord. Clin Radiol 2012;67:380-8.
Une question, un commentaire ?