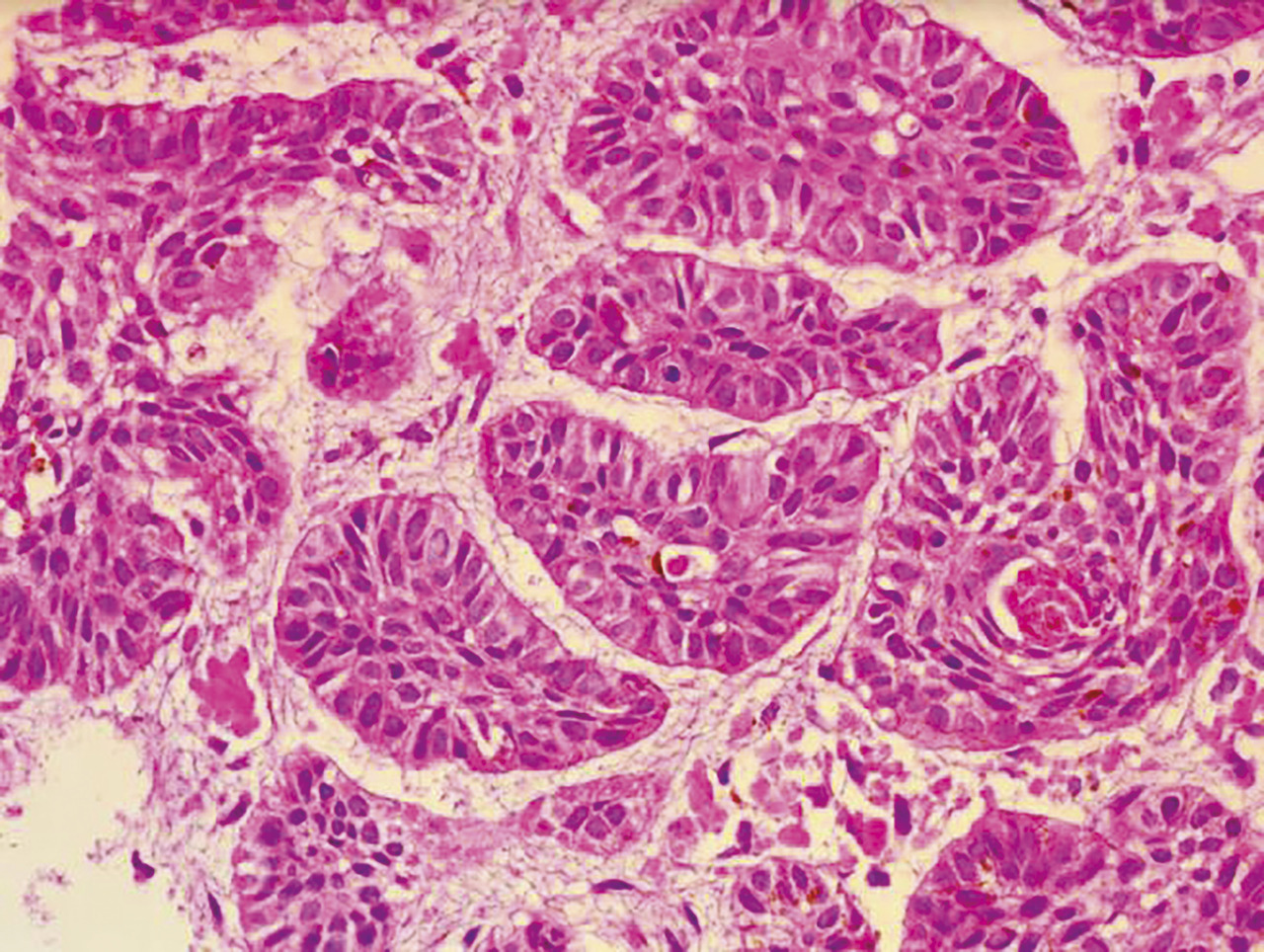
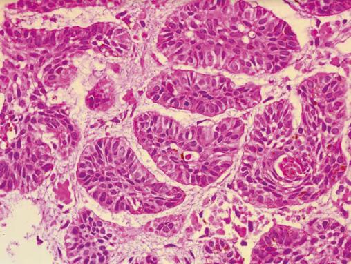
Cet homme de 54 ans, agriculteur, avait depuis 5 ans une lésion nodulaire du scalp à croissance lente évoluant vers l’ulcération. À l’examen dermatologique, on notait une lésion unique bien limitée, hyperpigmentée, sur la région pariétale gauche, mesurant 5 x 6 cm. Cette lésion était ferme, sans saignement au contact (fig. 1 ). Il n’y avait pas d’adénopathies cervicales. À l’histologie, le derme était le siège d’une prolifération carcinomateuse infiltrante agencée en massifs et amas tatoués de mélanine. Les noyaux présentaient des atypies avec agencement palissadique en périphérie (fig. 2 ). Il s’agissait d’un carcinome basocellulaire nodulaire tatoué. Une exérèse chrirugicale était réalisée, avec des marges saines de 5 mm et une bonne évolution.
Le carcinome basocellulaire tatoué ou pigmenté est relativement rare et pose un problème de diagnostic différentiel avec le mélanome. L’origine de cette coloration noirâtre est attribuée à la grande quantité de mélanine et au nombre important de mélanocytes présents.1 La localisation au niveau des zones photo-exposées particulièrement, le caractère ulcéré ou hémorragique et la croissance relativement rapide sont autant de particularités pouvant faire évoquer le diagnostic de mélanome. L’examen clinique à lui seul peut être insuffisant et le diagnostic peut représenter un véritable défi ; d’où l’intérêt d’un examen dermoscopique. L’histologie est la clé du diagnostic. La prise en charge thérapeutique repose sur la chirurgie avec marge saine de 5 mm en moyenne pour des lésions de grande taille.2
Références
1. Brankov N, Prodanovic E, Hurley M. Pigmented basal cell carcinoma: increased melanin or increased melanocytes? J Cutan Pathol 2016;43:1139-42.
2. Telfer NR, Colver GB, Morton CA. Guidelines for the management of basal cell carcinoma. Br J Dermatol. 2008;159:35-48.
2. Telfer NR, Colver GB, Morton CA. Guidelines for the management of basal cell carcinoma. Br J Dermatol. 2008;159:35-48.
Une question, un commentaire ?
Sur le même thème
Exercice
Exercice