Jusqu’à présent, il n’y avait pas de dépistage organisé du cancer du poumon en France : la HAS considérait en effet que toutes les conditions n’étaient pas réunies pour une mise en œuvre efficace et sûre. Aujourd'hui, elle actualise sa position et recommande l'engagement d'un programme pilote.

Le cancer du poumon est le cancer qui occasionne le plus de décès chaque année en France (plus de 33 000). Souvent diagnostiqué à un stade tardif, il est également l'un des cancers de plus mauvais pronostic, avec un taux de survie à 5 ans de 20 %. Chez l'homme âgé de 45 à 64 ans, c’est la première cause de décès. Il est en forte progression chez la femme. Le tabac est responsable de 8 cancers du poumon sur 10.

Quels bénéfices ?

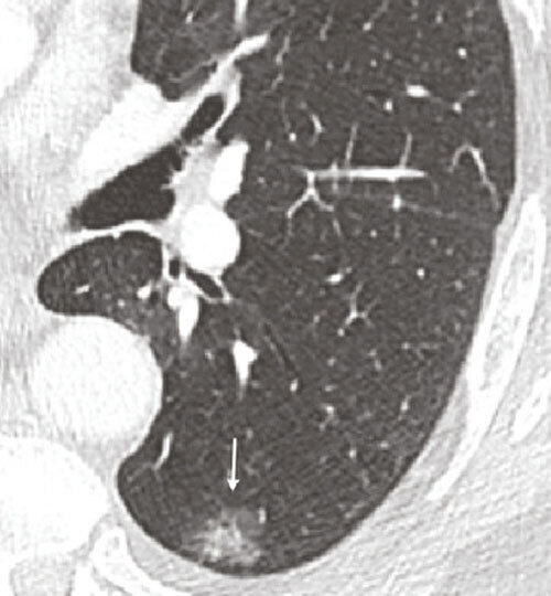
Le dépistage repose sur la réalisation d’un scanner thoracique à faible dose sans injection chez des personnes asymptomatiques ayant un risque élevé de ce cancer (fumeurs ou anciens fumeurs). En cas d'anomalie, le bilan diagnostique comporterait des examens complémentaires d'imagerie et une biopsie de la tumeur.

Comme nous avons déjà publié dans notre revue en 2020, des nouvelles études montrent qu’un dépistage systématique chez les populations fortement exposées au tabac est associé à une diminution significative de la mortalité spécifique de ce cancer, de l'ordre de 5 vies sauvées pour 1 000 personnes dépistées.

Une détection des cancers à un stade plus précoce a également été observée, un résultat intéressant dans le cas du cancer du poumon dont le pronostic est d'autant plus sombre qu'il est détecté à un stade tardif. La survie à 5 ans n'est ainsi que de 4 % pour une détection au stade IV, stade auquel il est aujourd'hui diagnostiqué dans 40 % à 55 % des cas.

Quels risques ?

Ces bénéfices doivent être considérés au regard des effets délétères liés au surdiagnostic (diagnostic de lésions cancéreuses indolentes, c'est-à-dire qui n'auraient pas évolué, ou de cancers qui ne seraient jamais devenus symptomatiques) et à la détection de faux positifs pouvant générer une anxiété, des examens complémentaires, des traitements et des complications. Dans les études, seulement 0,1 % à 1,5 % des personnes incluses ont reçu un bilan diagnostique invasif en raison d'un résultat faux positif lors du dépistage ; les taux de complications mineures à graves faisant suite aux examens complémentaires étaient de 0,1 % à 1,3 %.

En pratique

La balle est maintenant dans le camp de l’Institut national du cancer (INCa), qui doit mettre en place les expérimentations. Elles devront répondre aux nombreuses questions posées de la HAS : quelle population cible ? Quelle quantification du tabagisme chez les fumeurs et les ex-fumeurs ? Quel rapport coût-efficacité du dépistage ? Des pistes sont abordées dans nos articles ci-dessous :

Entretien avec le Dr Bernard Milleron. Dépistage du cancer du poumon : il est temps !Rev Prat 30 septembre 2021.

Ruppert AM, Amrioui F, Fallet V. Intérêt du sevrage tabagique chez les patients atteints du cancer du poumon.Rev Prat 2020;70(8);857-8.

Milleron B. Comment dépister les cancers du poumon, et avec quels résultats ?Rev Prat 2020;70(8);859-62.

Milleron B. Dépistage des cancers du poumon : à qui prescrire un scanner faiblement dosé ?Rev Prat 2020;70(8);863.

Couraud S, Grolleau E. Quelle mise en pratique du dépistage des cancers du poumon ?Rev Prat 2020;70(8);864.

Baldacci S, Reguig A, Cortot A. Cancers du poumon.Rev Prat Med Gen 2021;35(1054);77-81.