Responsable de 3 000 nouveaux cas par an en France, le cancer du col de l’utérus est dû dans la grande majorité des cas à une infection persistante par un papillomavirus humain (HPV) à haut-risque ; ¾ des cancers sont diagnostiqués chez des femmes de moins de 65 ans. 

Grace à la prévention, combinat dépistage (frottis et/ou test HPV) et vaccination, ce cancer pourrait être éliminé. Pourtant, aujourd’hui en France, 40 % des femmes de 25-65 ans ne sont pas dépistées et la couverture vaccinale est faible (24 % des jeunes filles de 16 ans).

À l’occasion de la semaine européenne de prévention du cancer du col de l’utérus, qui se tient du 25 au 30 janvier, nous vous proposons une sélection d’articles récents sur ce sujet.

 

Baldauf JJ, Lecointre L, Akladios CY, et al. Le dépistage du cancer du col de l’utérus doit continuer ! Rev Prat 2020;70:109-10

Lépine C, Denize T, Badoual C. Vaccination contre les papillomavirus : les questions en suspens. Rev Prat 2020;70:104-7.

Dib F, Launay O. Vaccination contre les infections à papillomavirus : données de pharmacovigilance. Rev Prat 2020;70:96-8.

Test HPV après 30 ans : la panacée ?

Vaccin anti-HPV : enfin remboursé chez les garçons

Vaccination anti-HPV : enfin les résultats sur le cancer !

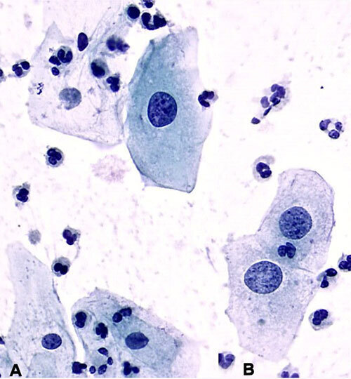
Image : frottis exocervical inflammatoire, cellules intermédiaires à noyau volumineux dont la chromatine n'est pratiquement pas densifiée : ASC-US (= atypies des cellules malpighiennes de signification indéterminée, terminologie Bethesda 2001. Même frottis A et B (obj. 40x). Crédit : Centre international de recherche sur le cancer, OMS (cytopathologie du col utérin - atlas numérique).