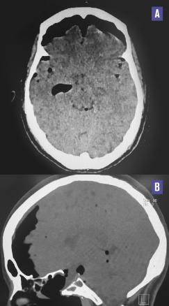
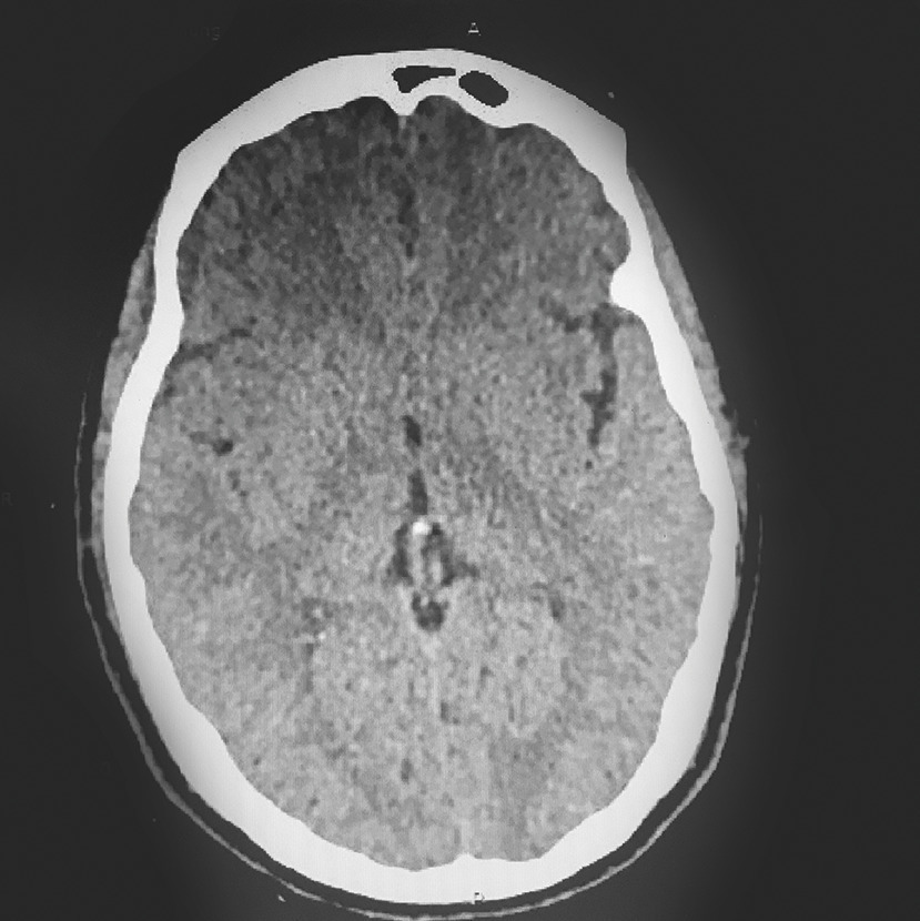
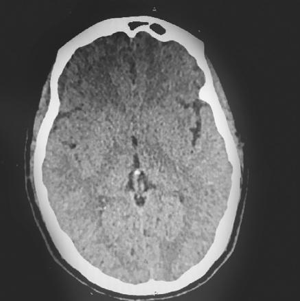
Cette femme de 38 ans consultait pour des céphalées en casque évoluant depuis une semaine. La patiente précisait avoir une rhinorrhée antérieure depuis une intervention neurochirurgicale sur adénome hypophysaire réalisée un mois auparavant. L’examen ne notait ni atteinte des paires crâniennes ni céphalée orthostatique. La patiente était apyrétique et son bilan biologique ne montrait pas de syndrome inflammatoire ou infectieux. Une liquorrhée cérébrospinale était visualisée au contact du sphénoïde à la rhinoscopie. La tomodensitométrie cérébrale était normale (fig. 1 ). La patiente était hospitalisée et, le soir même, chutait dans la salle de bains. Une nouvelle tomodensitométrie (48 h après la première) montrait une pneumencéphalie diffuse témoignant d’une brèche méningée (fig. 2 ). La chute a probablement accentué la brèche, occasionnant la pneumencéphalie secondaire.
La chirurgie hypophysaire par voie trans-sphénoïdale est la technique de référence pour les tumeurs hypophysaires. Une rhinorrhée post-opératoire est rapportée dans 0,5 à 6 % des cas.1 Elle expose le patient a une méningite, une pneumencéphalie ou une hypotension intracrânienne chronique, évoquée sur le caractère orthostatique des céphalées. L`analyse de la rhinorrhée avec dosage de la bêta-trace (protéine spécifique du liquide cérébrospinal) permet d’orienter le diagnostic. Devant toute rhinorrhée post-opératoire associée à des céphalées une brèche méningée doit être recherchée.
Références
1. Duntz J, Litré CF, Graillon T, et al. Rhinorrhée cérébrospinale après chirurgie hypophysaire endoscopique trans-sphénoïdale : réflexions après 337 patients. Neurochirurgie 2012;58:241-5.
Une question, un commentaire ?
Sur le même thème
Article
Exercice