La blastocystose est l’infestation de l’intestin par un organisme : Blastocystis hominis. Les patients ont des troubles digestifs variés, mais sont-ils dus à ce protozoaire ou à une autre cause ?
Protozoaire à part
Les Blastocystis hominis sont des eucaryotes anaérobies du tube digestif de l’homme et de divers animaux (mammifères, reptiles, oiseaux, batraciens…). Décrit en 1911 par E. Brumpt, comme une forme kystique de Trichomonas intestinalis, il a ensuite été classé dans les levures puis comme un protozoaire unicellulaire et placé parmi les straménopiles (incluant algues, diatomées et oomycètes).
Récemment, la biologie moléculaire a révélé plusieurs espèces morphologiquement semblables (famille des Blastocystidae), désignées par des sous-types ST. Parmi les 17 actuellement identifiés, les ST1 à 9 (surtout ST3 et ST4) sont retrouvés chez l’homme, avec des variations de prévalence selon les régions, ST6 et 7 chez les oiseaux, ST10 chez les bovins (tableau 1 ).1 En Afrique subsaharienne, les sous-types ST3 et ST1 sont prédominants.2
Quatre aspects sont décrits : le kyste, forme de transmission, résistant 1 mois dans l’environnement,3 la vacuole qui se divise et redonne des kystes, et les formes granulaires et amiboïdes plus rares et observées surtout en culture (tableau 2 ).4 Sa prévalence va de 0,5 % au Japon à 60 % en Malaisie et atteint 100 % au Sénégal chez des enfants.2 En France, elle varie selon les moyens diagnostiques, de 3 % avec l’examen microscopique des selles à 14 % en utilisant la PCR.
Récemment, la biologie moléculaire a révélé plusieurs espèces morphologiquement semblables (famille des Blastocystidae), désignées par des sous-types ST. Parmi les 17 actuellement identifiés, les ST1 à 9 (surtout ST3 et ST4) sont retrouvés chez l’homme, avec des variations de prévalence selon les régions, ST6 et 7 chez les oiseaux, ST10 chez les bovins (
Quatre aspects sont décrits : le kyste, forme de transmission, résistant 1 mois dans l’environnement,3 la vacuole qui se divise et redonne des kystes, et les formes granulaires et amiboïdes plus rares et observées surtout en culture (
Pathogénicité discutée
La transmission est féco-orale par les crudités, l’eau de boisson, les mains sales5 et le contact avec les animaux. Blastocystis a été retrouvé dans les eaux usées, montrant l’inefficacité des traitements par chloration et ozonation.3 L’homme ingère les kystes qui, sous l’action des sucs gastriques, se transforment en formes vacuolaires et amiboïdes qui vont redonner des kystes, éliminés dans les selles. Ce protozoaire est cosmopolite, mais plus fréquent en zones tropicales : 19 % chez les Français n’ayant pas voyagé outre-mer, 32 % chez les Maghrébins et 41 % chez les sujets d’Afrique subsaharienne.6
Son pouvoir pathogène est très controversé. En effet, les Blastocystis sont souvent associés à divers parasites intestinaux, comme les Giardia intestinalis. La plupart du temps, les Blastocystis sont décelés de façon fortuite chez des patients asymptomatiques. Certains auteurs leur attribuent la responsabilité de diarrhées (se répartissant en : légère 32,8 % ; modérée 61,7 % ou sévère 5,5 %),7 nausées, ballonnements, flatulences et douleurs abdominales modérées, à défaut d’avoir retrouvé une autre étiologie (tableau 3 ).8
Sont particulièrement à risque les sujets infectés par le VIH (surtout si le taux de CD4 est < 200/mm3), les transplantés et les malades traités pour hémopathies. Une prévalence plus importante a été constatée chez les personnes atteintes de côlon irritable, pathologie fréquente qui provoque les mêmes symptômes. Cependant, dans un cas d’ulcération colique, confirmé par la colonoscopie, les biopsies ont retrouvé des Blastocystis au sein de l’ulcère et dans la lamina propria adjacente.9
Son pouvoir pathogène est très controversé. En effet, les Blastocystis sont souvent associés à divers parasites intestinaux, comme les Giardia intestinalis. La plupart du temps, les Blastocystis sont décelés de façon fortuite chez des patients asymptomatiques. Certains auteurs leur attribuent la responsabilité de diarrhées (se répartissant en : légère 32,8 % ; modérée 61,7 % ou sévère 5,5 %),7 nausées, ballonnements, flatulences et douleurs abdominales modérées, à défaut d’avoir retrouvé une autre étiologie (
Sont particulièrement à risque les sujets infectés par le VIH (surtout si le taux de CD4 est < 200/mm3), les transplantés et les malades traités pour hémopathies. Une prévalence plus importante a été constatée chez les personnes atteintes de côlon irritable, pathologie fréquente qui provoque les mêmes symptômes. Cependant, dans un cas d’ulcération colique, confirmé par la colonoscopie, les biopsies ont retrouvé des Blastocystis au sein de l’ulcère et dans la lamina propria adjacente.9
Diagnostic : examen de selles et PCR
L’examen parasitologique des selles met en évidence les formes vacuolaires, visibles directement avec du sérum physiologique (et non de l’eau distillée qui lyse instantanément les vacuoles) ou colorées en rose par le merthiolate-iode-formol, (MIF) avec une périphérie plus foncée et des noyaux en rouge foncé (fig. 1 ), mais les techniques de concentration détruisent ces protozoaires. Les cultures sont possibles sur différents milieux.
Pas de corrélation entre la quantité de Blastocystis retrouvés dans les selles et la pathogénicité.
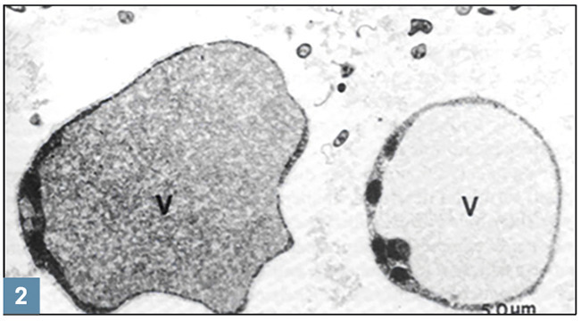
Ils ont la forme d’une sphère avec une grande vacuole qui repousse le cytoplasme en périphérie, aspect confirmé par la microscopie électronique : grande vacuole vide et cytoplasme périphérique contenant noyaux, mitochondries, appareil de Golgi, ribosomes et inclusions lipidiques (fig. 2 ). En microscope électronique à balayage : sphères à la surface rugueuse (fig. 3 ).
Actuellement, les techniques de biologie moléculaire ou kits de tests multiplex, plus rapides et efficaces, détectent simultanément plusieurs parasites, mais aussi bactéries et virus, ce qui simplifie beaucoup le travail de laboratoire.
Pas de corrélation entre la quantité de Blastocystis retrouvés dans les selles et la pathogénicité.
Ils ont la forme d’une sphère avec une grande vacuole qui repousse le cytoplasme en périphérie, aspect confirmé par la microscopie électronique : grande vacuole vide et cytoplasme périphérique contenant noyaux, mitochondries, appareil de Golgi, ribosomes et inclusions lipidiques (
Actuellement, les techniques de biologie moléculaire ou kits de tests multiplex, plus rapides et efficaces, détectent simultanément plusieurs parasites, mais aussi bactéries et virus, ce qui simplifie beaucoup le travail de laboratoire.
Traiter ou pas ?
Le caractère débattu de la pathogénicité rend discutable l’utilité d’un traitement. L’abstention est donc de mise chez le sujet asymptomatique porteur de Blastocystis.10
Cependant, en cas de troubles digestifs sans étiologie décelée et devant de nombreux Blastocystis hominis à l’examen parasitologique des selles, certains auteurs évoquant une « blastocystose » proposent le métronidazole (1,5 g/jour pendant 10 jours) ou du triméthoprime- sulfaméthoxazole, 320/600 mg/jour pendant 7 jours ou encore le nitazoxanide 1g/jour pendant 3 jours (en ATU), voire la succession de ces 3 molécules, car il semble y avoir des souches de Blastocystis résistantes au métronidazole.
L’efficacité de ces molécules n’est pas démontrée, car si les troubles digestifs disparaissent, ces antibiotiques ont aussi une action connue sur des pathogènes de la sphère intestinale… Ainsi, l’éradication d’une infection occulte réduit l’inflammation de l’intestin et fait disparaître les Blastocystis.
Cependant, en cas de troubles digestifs sans étiologie décelée et devant de nombreux Blastocystis hominis à l’examen parasitologique des selles, certains auteurs évoquant une « blastocystose » proposent le métronidazole (1,5 g/jour pendant 10 jours) ou du triméthoprime- sulfaméthoxazole, 320/600 mg/jour pendant 7 jours ou encore le nitazoxanide 1g/jour pendant 3 jours (en ATU), voire la succession de ces 3 molécules, car il semble y avoir des souches de Blastocystis résistantes au métronidazole.
L’efficacité de ces molécules n’est pas démontrée, car si les troubles digestifs disparaissent, ces antibiotiques ont aussi une action connue sur des pathogènes de la sphère intestinale… Ainsi, l’éradication d’une infection occulte réduit l’inflammation de l’intestin et fait disparaître les Blastocystis.
Références
1. Jimenez PA, Jaimes JE, Ramirez JD. Summary of Blastocystis subtypes in North and South America. Parasit Vectors 2019;12:376.
2. El Safadi D, Gaaheb L, Meloni D, et al. Children of Senegal river bassin show the highest prevalence of Blastocystis sp ever observerd worlwide. BMC Infect Dis 2014;14:164.
3. Poirier P. Le parasite intestinal Blastocystis : épidémiologie et importance clinique. Lettre Infectiol 2014;29:72-6.
4. Stenzel DJ, Boreham PF. Blastocystis hominis revisited. Clin Microbiol Rev 1996;9:563-84.
5. Parija SC, Jeremiah S. Blastocystis: taxonomy, biology and virulence. Trop Parasitol 2013;3:17-25.
6. Bourée P. Blastocystis : commensal ou pathogène ? Étude de 590 cas et revue de la littérature. Antibiotiques 2007;9:20-4.
7. Elghareeb AS, Younis MS, El Fakahany AF, et al. Laboratory diagnosis of Blastocystis spp. in diarrheic patients. Trop Parasitol 2015;5:36-41.
8. Salvador F, Sulleiro E, Sanchez-Montalva A, et al. Epidemiological and clinical profile of adult patients with Blastocystis sp. infection in Barcelona, Spain. Parasit Vectors 2016;9:548.
9. Kök M, Çekim y, Çekim AH, et al. The role of Blastocystis hominis in the activation of ulcerative colitis. Turk J Gastroenterol 2019;30:40-6.
10. Bovier P, Chappuis F. Blastocystis hominis : un hôte indésirable ? Rev Med Suisse 2014;10:1839-40.
2. El Safadi D, Gaaheb L, Meloni D, et al. Children of Senegal river bassin show the highest prevalence of Blastocystis sp ever observerd worlwide. BMC Infect Dis 2014;14:164.
3. Poirier P. Le parasite intestinal Blastocystis : épidémiologie et importance clinique. Lettre Infectiol 2014;29:72-6.
4. Stenzel DJ, Boreham PF. Blastocystis hominis revisited. Clin Microbiol Rev 1996;9:563-84.
5. Parija SC, Jeremiah S. Blastocystis: taxonomy, biology and virulence. Trop Parasitol 2013;3:17-25.
6. Bourée P. Blastocystis : commensal ou pathogène ? Étude de 590 cas et revue de la littérature. Antibiotiques 2007;9:20-4.
7. Elghareeb AS, Younis MS, El Fakahany AF, et al. Laboratory diagnosis of Blastocystis spp. in diarrheic patients. Trop Parasitol 2015;5:36-41.
8. Salvador F, Sulleiro E, Sanchez-Montalva A, et al. Epidemiological and clinical profile of adult patients with Blastocystis sp. infection in Barcelona, Spain. Parasit Vectors 2016;9:548.
9. Kök M, Çekim y, Çekim AH, et al. The role of Blastocystis hominis in the activation of ulcerative colitis. Turk J Gastroenterol 2019;30:40-6.
10. Bovier P, Chappuis F. Blastocystis hominis : un hôte indésirable ? Rev Med Suisse 2014;10:1839-40.