Les voies aérodigestives supérieures (VADS) constituent la partie haute des systèmes respiratoire et digestif. Elles sont constituées de muqueuses, soutenues par des éléments musculaires complexes et des structures osseuses et cartilagineuses dont l’analyse fine est nécessaire afin de déterminer l’extension des lésions qui s’y développent et aider à la décision thérapeutique.
La très grande majorité des cancers des VADS sont d’origine muqueuse et de type carcinomateux. Mais les facteurs de risque tumoraux, la présentation clinique et les techniques d’exploration en imagerie diffèrent selon la localisation tumorale.

Rôles de l’imagerie dans le diagnostic des cancers des VADS

On estime que le délai entre la première consultation et le recueil des éléments radiologiques nécessaires à la prise de décision thérapeutique en réunion de concertation pluridisciplinaire (RCP) ne doit pas excéder quatre semaines.1
Pour ne pas surestimer l’extension tumorale, il est recommandé de réaliser l’imagerie avant les biopsies sous panendoscopie et les éventuels soins dentaires préthérapeutiques, sources de remaniements inflammatoires, et d’en tenir compte dans l’interprétation des images dans le cas contraire.
Le cliché radiographique et l’échographie n’ont pas d’indication dans le bilan d’extension de ces cancers. L’imagerie en coupe est la technique de choix : pour les lésions suprahyoïdiennes (nasopharynx, oropharynx et cavité buccale), on préfère l’imagerie par résonance magnétique (IRM) ; pour les lésions infrahyoïdiennes (hypopharynx et larynx), on choisit la tomodensitométrie (TDM) [tableau].

Imagerie en coupe indispensable pour préciser l’extension de la lésion

Au cours du bilan initial des tumeurs des VADS, l’imagerie en coupe (TDM et IRM) tient un rôle central. Elle permet d’appréhender avec précision la lésion au sein de l’anatomie complexe de la région de la tête et du cou, ses extensions sous-muqueuse et profonde. Elle favorise l’exploration des zones difficiles d’accès à l’examen clinique (sous-glotte, régions profondes cervicales et de la face, extensions périnerveuses vers l’orbite et l’endo­crâne) ainsi que celle de toutes les aires ganglionnaires cervicales. Elle permet aussi de faire le bilan des lésions synchrones, en particulier liées aux facteurs de risque cancérigènes que sont l’alcool et le tabac. Ces informations sont utilisées pour appliquer à la lésion la classification clinique TNM (tumor, node, metastasis ou tumeur, ganglion, métastase), 8e édition21, planifier l’acte chirurgical et la radiothérapie (délinéation précise du volume tumoral macroscopique).

L’échographie uniquement pour les biopsies

L’échographie est le guide indispensable à la biopsie des lésions profondes ou situées à proximité des axes vasculonerveux à risque, améliorant la qualité du prélèvement effectué (portion tissulaire, non kystique, non nécrotique) ainsi que la sécurité du geste.

Modalités pratiques de réalisation des examens d’imagerie en coupes

 

Tomodensitométrie (TDM ou scanner)

Cet examen dure de dix à quinze minutes. L’acquisition s’effectue après injection biphasique de produit de contraste iodé, hors contre-indication, en respiration lente, afin de permettre l’étude des cordes vocales et des espaces profonds cervicaux de la base du crâne à la base du cou et des pièces osseuses. L’étude de l’hypopharynx, pouvant être collabé en respiration libre, est optimisée par la réalisation d’une seconde acquisition ciblée pendant que le patient effectue une manœuvre de Valsalva. Le larynx peut faire l’objet d’acquisition en phonation afin de mieux différencier cordes vocales et bandes ventriculaires.

 

 

Imagerie par résonance magnétique (IRM)

L’examen est plus long (environ 30 minutes) et nécessite que le patient soit totalement immobile dans l’antenne pendant la durée de chaque séquence (environ 4 minutes). Les contre-indications habituelles de l’IRM doivent être vérifiées. Les acquisitions sont réalisées au cours d’une respiration douce sans déglutition, dans au moins deux plans orthogonaux, en coupes fines (3-4 mm) avec pour objectifs une résolution spatiale et un signal de bonne qualité. Des séquences après injection de produit de contraste à base de chélates de gadolinium sont réalisées, sauf contre-indications.

 

 

 

Préciser la demande d’examen radiologique

Afin de répondre au mieux aux attentes de l’équipe médico-chirurgicale prenant en charge le patient atteint d’une tumeur maligne des VADS, il est nécessaire que la demande d’examen radiologique comporte les informations suivantes :
– localisation de la tumeur et côté pathologique (si vue cliniquement) ;
– histologie (si biopsies déjà effectuées, avec date de celles-ci afin de prendre en compte les éventuels remaniements inflammatoires du geste) ;
– existence ou non d’adénopathies palpées et leurs caractéristiques cliniques ;
– contexte thérapeutique (bilan initial, évaluation en cours de traitement conservateur, référence post-thérapeutique [3 à 4 mois après la fin du traitement dont il faudra préciser la date], surveillance systématique plus à distance, ou suspicion de récidive ou de complication).

 

 

Quatre localisations pour les cancers des VADS

Chez tout patient présentant une intoxication tabagique ou éthylotabagique, certains signes cliniques ou lésions évocatrices de carcinome épidermoïde doivent alerter le praticien. Cela est d’autant plus vrai si les symptômes évoluent depuis plus de trois semaines ou sont associés à une asthénie ou à une perte de poids. L’examen clinique recherche d’éventuelles adénopathies dans la région jugulo-carotidienne, submentale ou sous-maxillaire.

Tumeur du cavum (ou nasopharynx) : un diagnostic trop souvent tardif

Les cancers nasopharyngés ne sont pas liés à une intoxication alcoolotabagique mais plutôt à une prédisposition génétique (phénotype HLA) associée à une exposition au virus d’Epstein-Barr (EBV) et/ou à des facteurs environnementaux.
Le type histologique le plus fréquemment observé est le carcinome non kératinisant (type III de la classification de l’Organisation mondiale de la santé). Son incidence suit celle de l’EBV, plus élevée que la moyenne mondiale en Asie du Sud-Est, au Moyen-Orient et en Afrique du Nord.3
La tumeur naît fréquemment de l’épithélium muqueux du récessus pharyngien et peut s’étendre en profondeur par la base du crâne jusque dans l’endocrâne.
Le diagnostic est souvent posé tardivement (délai de 8 à 10 mois), car ce cancer reste longtemps asymptomatique, et son incidence est plus faible que celle des autres cancers ORL. Les localisations ganglionnaires secondaires et métastatiques sont fréquentes au diag­nostic.
Les symptômes sont variables : otalgie et surdité de transmission parfois en rapport avec une otite séreuse unilatérale – qui doit faire rechercher chez l’adulte (clinique et imagerie) une tumeur nasopharyngée –, adénomégalies cervicales, épistaxis, obstruction nasale unilatérale chronique, voire névralgies par envahissement des paires crâniennes (branches du nerf trijumeau) dans les stades avancés.
Pour le bilan initial, il est recommandé d’effectuer une IRM cervico-faciale explorant l’axe pharyngé, les espaces profonds de part et d’autre de la base du crâne pour ne pas méconnaître les extensions périnerveuses, et les aires ganglionnaires (fig. 1). En cas de non-disponibilité ou de contre-indication à l’IRM, une TDM cervico-faciale avec injection biphasique de produit de contraste peut être réalisée. Un scanner de la base du crâne permet de rechercher une lyse corticale si l’IRM montre un contact ou une infiltration médullaire osseuse. Une tomographie par émission de positons-tomodensitométrie (TEP-TDM) est réalisée pour rechercher des localisations ganglionnaires et secondaires dans les stades avancés. L’ensemble de ces éléments permet d’établir la classification clinique TNM.2

Tumeurs de l’oropharynx et de la cavité buccale : des symptômes peu spécifiques

Les tumeurs de l’oropharynx et de la cavité orale représentent près de 50 % des tumeurs de la sphère ORL, avec une incidence en augmentation constante ces dernières années.4 L’infection virale par les sérotypes d’HPV (human papillomavirus) de haut grade cancérigène est à l’origine d’une part croissante des carcinomes épidermoïdes oropharyngés et de la cavité orale,5 à un âge de survenue plus précoce (4e et 5e décennies), avec une meilleure réponse au traitement conservateur et un meilleur pronostic que pour les tumeurs liées à l’exposition au tabac et à l’alcool.6
Asymptomatique au stade précoce, la lésion peut être découverte fortuitement au cours de l’examen systématique par le médecin traitant ou le dentiste. Les symptômes ne sont pas spécifiques : gêne pharyngée, dysphagie, fausses routes, odynophagie et otalgie majorée par la déglutition. Des adénopathies peuvent être présentes et sont parfois à l’origine du diagnostic. Aux stades plus tardifs, il peut exister un trismus.
L’examen clinique de la cavité buccale dépiste des lésions précancéreuses telles que l’érythroplasie (fig. 5) ou la leucoplasie (fig. 6). Il recherche également la présence de lésions papillomateuses (fig. 7) évocatrices d’infection à HPV. Les lésions ulcérantes ou bourgeonnantes évoquent un cancer invasif (fig. 8) ; souvent douloureuses, elles peuvent s’accompagner d’une dysphagie, voire d’une limitation de l’ouverture buccale (trismus). On recherche une lésion ulcérante ou bourgeonnante de l’amygdale (fig. 9), de la base de la langue, du voile du palais ou de la paroi pharyngée postérieure. Il peut s’agir parfois d’une simple asymétrie.
La délimitation entre l’oropharynx et la cavité orale est artificielle, des structures anatomiques pouvant appartenir aux deux localisations. La technique de référence pour l’évaluation tumorale et ganglionnaire est l’IRM cervico-faciale (fig. 2 et 3). Une TDM cervico-faciale peut être réalisée en cas de contre-indication à l’IRM, mais cette technique présente un mauvais contraste tissulaire et ne permet pas d’établir une classification clinique TNM fiable (identification des stades T4). Le scanner facial sans injection permet de chercher une lyse corticale. Une TDM thoracique, voire une TEP-TDM dans les stades avancés, complète le bilan.7

Incidence croissante pour les tumeurs de l’hypopharynx

L’hypopharynx est composé de trois sous-régions : les sinus piriformes, siège tumoral le plus fréquent, la paroi pharyngée postérieure et la région rétro-crico-­aryténoïdienne.
Environ 3 000 nouveaux cas de tumeur de l’hypopharynx ont été diagnostiqués en 2020 en France, avec une prévision de croissance pour 2030 de 5 % de l’incidence et de 6 % de la mortalité.8 L’exposition synergique à l’alcool et au tabac est à l’origine d’une grande partie de ces lésions.
Les carcinomes épidermoïdes plus ou moins différenciés sont très majoritaires. Les patients peuvent présenter une gêne ou une douleur pharyngée, des douleurs à la déglutition, une odynophagie, des crachats sanglants, une dysphagie par blocage, voire une dysphonie ou dyspnée en cas d’extension régionale. Un examen ORL spécialisé avec nasofibroscopie s’impose.
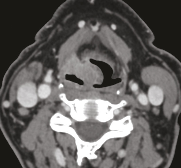
En TDM, au cours de l’acquisition en respiration douce, les sinus piriformes sont souvent fermés, et les trois parois (antérieure, latérale et postérieure) ne sont pas analysables de façon satisfaisante. Il est donc nécessaire de compléter l’examen par une hélice au cours de laquelle le patient réalise une manœuvre de Valsalva, ce qui dégage les reliefs anatomiques. La lésion apparaît développée aux dépens d’une ou plusieurs de ses parois (fig. 4), faisant plus ou moins saillie dans la lumière pharyngée, et/ou infiltrant les parties molles profondes tant latéralement que dans l’axe vertical (espaces graisseux parapharyngés, muscles laryngés, structure glottique, bouche de l’œsophage, base de la langue).
L’analyse ganglionnaire doit être minutieuse devant le caractère lymphophile des lésions hypopharyngées. Une hélice thoracique est réalisée pour la recherche de localisations secondaires ou synchrones, d’autant plus en présence de facteurs de risque susceptibles d’être pourvoyeurs de néoplasie primitive pulmonaire ou œsophagienne (alcool et tabac).
Plus rarement réalisée, une IRM cervico-faciale complémentaire peut aider à préciser les éventuelles extensions à l’étage oropharyngé, au mur pharyngé postérieur ou à la médullaire des pièces osseuses envahies.

La dysphonie apparaît au stade précoce des tumeurs du larynx

Plus de 3 000 nouveaux cas de cancer du larynx sont diagnostiqués en France chaque année.
La consommation d’alcool et de tabac (avec un effet synergique) est à l’origine d’une grande partie des lésions ; les autres facteurs de risque sont l’exposition à des toxiques environnementaux, l’infection aux virus HPV et de l’immunodéficience humaine (VIH), l’inhalation de cannabis et d’opium, et le reflux gastro-œsophagien. Les carcinomes épidermoïdes sont très majoritaires dans cette localisation.
Au stade précoce, il existe rapidement une dysphonie, qui doit faire l’objet d’une exploration par endo­scopie au-delà de trois semaines d’évolution s’il existe des facteurs de risque (fig. 10). Celle-ci peut évoluer vers une dyspnée ou une dysphagie. Les autres signes ne sont pas spécifiques : gêne, sensation de corps étranger, dysphagie, voire otalgie ou douleur à la déglutition dans les stades plus évolués. L’apparition d’une dysphonie prolongée chez un patient tabagique impose un examen spécialisé ORL par nasofibroscopie.
Le larynx est une région anatomique de petite taille hautement fonctionnelle – respiration, phonation, déglutition –, ce qui rend son exploration par imagerie délicate. La TDM présente le meilleur compromis d’exploration du fait de la finesse des coupes et de la rapidité de la technique, diminuant les artefacts liés aux mouvements. Une acquisition de qualité en respiration douce est particulièrement importante pour l’exploration de la surface des cordes vocales en position neutre ; une acquisition ciblée en phonation, en faisant prononcer au patient le son continu [e], permet la recherche d’une extension supraglottique d’une tumeur glottique.
L’injection de produit de contraste iodé (sauf contre-indication) permet d’apprécier l’extension profonde des lésions.
Une TDM thoracique est réalisée pour la recherche de localisations secondaires ou synchrones, d’autant plus en présence de facteurs de risque (alcool et tabac) susceptibles d’être à l’origine d’une néoplasie primitive pulmonaire ou œsophagienne.
Plus rarement réalisée, l’IRM cervico-faciale complémentaire peut permettre de préciser les éventuelles extensions oropharyngées au mur pharyngé postérieur ou à la médullaire des pièces osseuses envahies. La lésion peut être développée dans la lumière laryngée, les espaces graisseux profonds (graisse paraglottique en particulier), voire dans les cartilages. Non accessibles à l’examen clinique, les extensions sous-glottiques, supraglottiques profondes (loge hyo-thyro-épiglottique) et cartilagineuses doivent être explicitement décrites, car elles peuvent modifier la stratégie chirurgicale. Les cartilages sont aussi parfois difficiles à apprécier en TDM du fait des inhomogénéités d’ossification interindividuelles et intra-individuelles (évaluation per-thérapeutique) et du polymorphisme en radiologie de leur atteinte (condensation, érosion corticale, lyse transfixiante) : les nouvelles techniques de scanner en double énergie ou une exploration par IRM peuvent affirmer ou infirmer une extension transcartilagineuse douteuse. Les ganglions cervico-faciaux pathologiques sont décrits selon les critères de malignité usuels.9, 10

De la qualité des éléments cliniques apportés dépend celle de l’interprétation de l’imagerie

L’imagerie en coupe est indispensable pour l’évaluation des tumeurs des VADS avant la prise de décision et la planification thérapeutique au cours de la RCP. La qualité de l’interprétation des images par le radiologue bénéficie des éléments cliniques fournis par le médecin référent. Le radiologue peut ainsi transmettre des informations cruciales sur la topographie, la morphologie et les extensions de la lésion tumorale, en particulier les extensions périnerveuses, endocrâniennes, orbitaires, cervicales profondes et infraglottiques. La collaboration étroite entre radiologues spécialisés et cliniciens contribue pour le patient à une meilleure prise en charge de sa pathologie tumorale, de sa surveillance et de la recherche de complications et de récidive post-thérapeutique. 

Encadre

Adénopathie « sans porte d’entrée »

Dans le cas d’une adénopathie « sans porte d’entrée », c’est-à-dire sans tumeur primitive suspectée cliniquement, une imagerie par résonance magnétique (IRM) peut être réalisée en raison de la plus grande fréquence des tumeurs supra-hyoïdiennes. La tomographie par émission de positons (TEP-TDM, aussi appelée TEP-scan) peut également aider à la détection du site tumoral primitif mais ne permet pas de s’affranchir du bilan morphologique par IRM ou TDM.

Références

1. Recommandation pour la pratique clinique. Organisation du parcours initial de soins en cancérologie des VADS. Société française d’oto-rhino-laryngologie et de chirurgie de la face et du cou (SFORL), 2000. https://vu.fr/eVjz
2. Amin MB, Greene FL, Edge SB, Compton CC, Gershenwald JE, Brookland RK, et al. The Eighth Edition of American Joint Committee on Cancer (AJCC), Cancer Staging Manual: Continuing to build a bridge from a population-based to a more “personalized” approach to cancer staging, Springer:2017;1024:2.
3. Chen YP, Chan ATC, Le QT, Blanchard P, Sun Y, Ma J. Nasopharyngeal carcinoma. The Lancet 2019;394(10192):64‑80.
4. Chaturvedi AK, Anderson WF, Lortet-Tieulent J, Curado MP, Ferlay J, Franceschi S, et al. Worldwide trends in incidence rates for oral cavity and oropharyngeal cancers. J Clin Oncol Off J Am Soc Clin Oncol 2013;31(36):4550‑9.
5. Gillison ML, Castellsagué X, Chaturvedi A, Goodman MT, Snijders P, Tommasino M, et al. Eurogin Roadmap: Comparative epidemiology of HPV infection and associated cancers of the head and neck and cervix. Int J Cancer 2014;134(3):497‑507.
6. Périé S, Meyers M, Mazzaschi O, De Crouy Chanel O, Baujat B, Lacau St Guily J. Epidemiology and anatomy of head and neck cancers. Bull Cancer (Paris) 2014;101(5):404‑10.
7. SFORL. Recommandation pour la pratique clinique : bilan pré-thérapeutique des carcinomes épidermoïdes des VADS. 2012. https://vu.fr/YVdg
8. International agency for research on cancer, World Health Organization, 2020. https://vu.fr/uPXd
9. Nakamura T, Sumi M. Nodal imaging in the neck: Recent advances in US, CT and MR imaging of metastatic nodes. Eur Radiol 2007;17(5):1235‑41.
10. Chong V. Cervical lymphadenopathy: What radiologists need to know. Cancer Imaging Off Publ Int Cancer Imaging Soc 2004;4(2):116‑20.

Dans cet article

Ce contenu est exclusivement réservé aux abonnés

Résumé

Les voies aérodigestives supérieures (VADS) ont une architecture anatomique complexe, d’accès partiel à l’examen clinique et dont l’analyse fine en imagerie est nécessaire afin d’aider à la décision et à la planification thérapeutique. La qualité de l’interprétation des images par le radiologue bénéficie des éléments cliniques fournis par le médecin référent. Outre les informations topographiques et morphologiques de la tumeur, le compte-rendu d’imagerie précise les extensions profondes, en particulier périnerveuses, endocrâniennes, orbitaires, cervicales profondes, cartilagineuses et infraglottiques, souvent sous-estimées à l’examen clinique. La collaboration étroite entre radiologues spécialisés et cliniciens contribue pour le patient à une meilleure prise en charge de sa pathologie tumorale.