René, âgé de 69 ans, est gêné depuis plus d’un an par une sensation de ballonnement abdominal. L’examen retrouve une circulation collatérale, une ascite ainsi qu’une masse indurée débordant tout le cadrant ombilical. Il est suivi régulièrement pour une maladie de Parkinson traitée par lévodopa (sa pompe à dopamine a été retirée 2 ans auparavant à la suite d’une fuite intrapéritonéale).
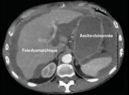
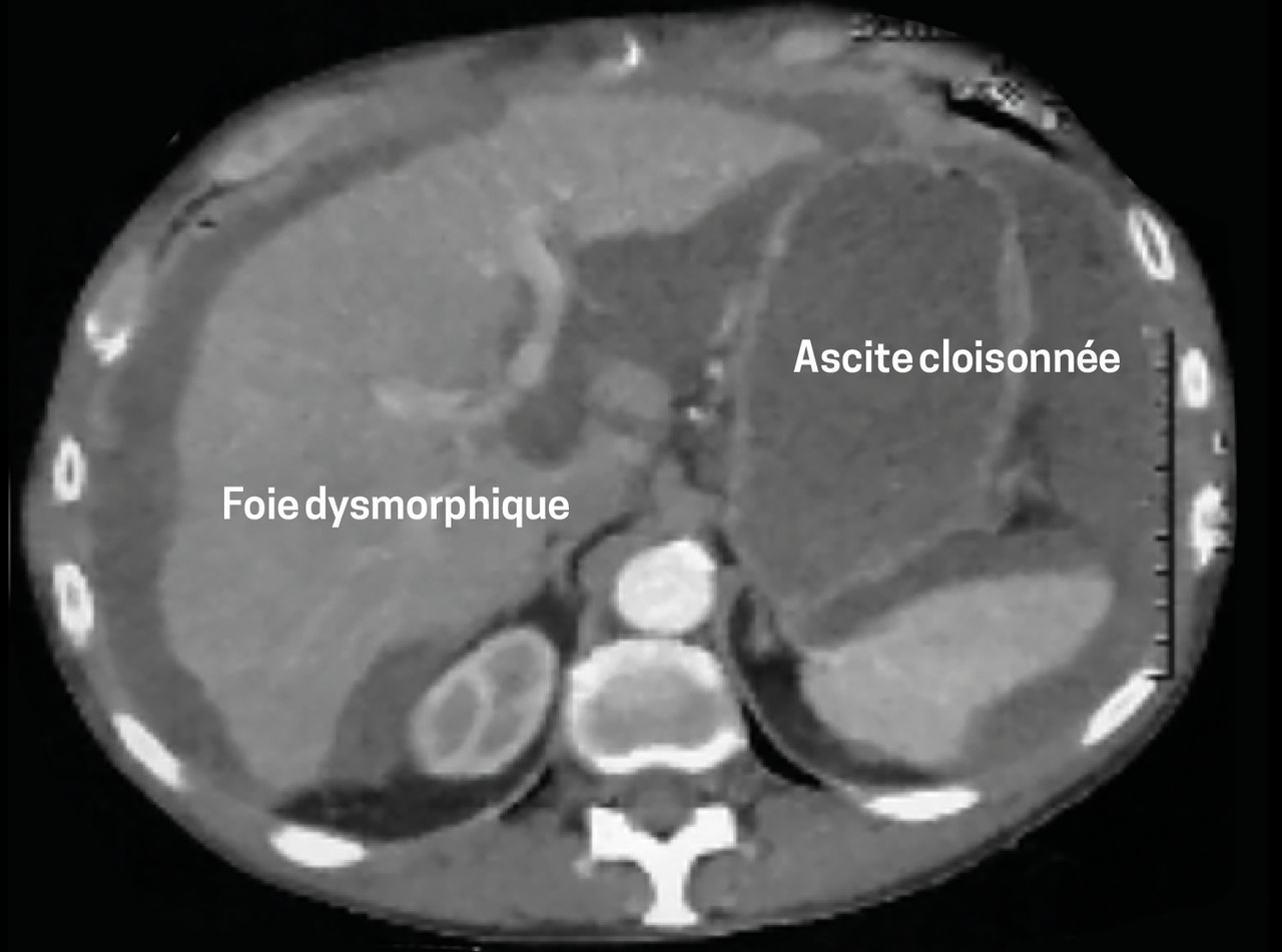
Le scanner abdominal (fig. 1 et 2)montre un volumineux épanchement ascitique diffus, un foie dysmorphique. Le bilan d’hépatopathie est négatif. L’ACE est élevé (8,79 µg/L), comme le CA 19,9 (57 UI/mL).
L’échographie révèle une ascite multi-cloisonnée. La ponction retrouve un liquide gélatineux ; l’analyse anatomopathologique est en faveur d’une maladie gélatineuse du péritoine.
Le scanner abdominal (fig. 1 et 2)montre un volumineux épanchement ascitique diffus, un foie dysmorphique. Le bilan d’hépatopathie est négatif. L’ACE est élevé (8,79 µg/L), comme le CA 19,9 (57 UI/mL).
L’échographie révèle une ascite multi-cloisonnée. La ponction retrouve un liquide gélatineux ; l’analyse anatomopathologique est en faveur d’une maladie gélatineuse du péritoine.
Discussion
Cette maladie, ou pseudomyxome péritonéal, est une affection rare, mal connue, caractérisée par la présence d’une substance mucoïde dans la cavité péritonéale qui ressemble macroscopiquement à de la gélatine. L’incidence est estimée à environ 2 cas sur 10 000 laparotomies ou 1 cas par million d’habitants.
L’origine est le plus souvent appendiculaire.1 Elle résulte fréquemment d’une sécrétion néoplasique de mucine à l’intérieur de la cavité péritonéale, provenant d’une rupture de l’appendice due à l’occlusion de sa lumière par un kyste, un adénome bénin ou encore un adénocarcinome de bas grade. Cependant, la perforation appendiculaire peut passer inaperçue.
En général, elle est découverte au cours d’une laparotomie pour une suspicion d’appendicite ou de cancer de l’ovaire, ou devant une augmentation de volume de l’abdomen, une ascite ou la palpation d’une masse.
La tomodensitométrie et l’échographie apportent des signes radiologiques complémentaires : respectivement encoches hépatiques et images de cloisons.
L’évolution est relativement lente,mais la progression est inéluctable en l’absence de prise en charge.
Le traitement, agressif, doit être pratiqué dans un centre expérimenté. Il repose sur une chirurgie de cytoréduction, qui consiste à réséquer toute formation tumorale visible par des gestes de péritonectomie (ne laissant que les nodules tumoraux de diamètre < 2,5 mm). Chez la femme : hystérectomie et salpingo-ovariectomie bilatérale. La chirurgie est suivie d’une chimiothérapie périopératoire intrapéritonéale, d’une durée de 30 à 90 minutes, à base de mitomycine C et de cisplatine ou d’oxaliplatine.
Les récidives sont fréquentes. Le pronostic dépend des antécédents chirurgicaux (péjoratifs), de la radicalité de la cytoréduction et du grade histologique. La survie à 5 ans varie entre 20 et 80 %.
L’origine est le plus souvent appendiculaire.1
En général, elle est découverte
La tomodensitométrie et l’échographie
L’évolution est relativement lente,
Le traitement, agressif, doit être pratiqué dans un centre expérimenté.
Les récidives sont fréquentes.
Références
1. Medhioub M, Doghri I, Hamzaoui ML, Agar K, Azzouz MM. La maladie gélatineuse du péritoine : à propos de 5 observations. Rev Med Interne 2015;36(S2):A186.
2. Loungnarath R, Causeret S, Brigand C, Gilly FN, Glehen O. Pseudomyxome péritonéal ou maladie gélatineuse du péritoine : nouveaux concepts et nouvelle prise en charge thérapeutique. Ann Chir 2005;130:63‑9.
2. Loungnarath R, Causeret S, Brigand C, Gilly FN, Glehen O. Pseudomyxome péritonéal ou maladie gélatineuse du péritoine : nouveaux concepts et nouvelle prise en charge thérapeutique. Ann Chir 2005;130:63‑9.
Une question, un commentaire ?