Une jeune femme de 21 ans consulte aux urgences pour un malaise avec cyanose, d’environ 5 minutes. Elle précise être traitée pour une angine érythémateuse attribuée à une mononucléose infectieuse (MNI-test positif). Dans ses antécédents, on note une adénoïdectomie et une ablation des dents de sagesse.
À l’examen, il existe une fièvre à 38,6 °C, une cervicalgie gauche avec une attitude vicieuse de la tête tournée vers la droite, ainsi qu’une dyspnée avec une saturation en O2 à 87 % en air ambiant.
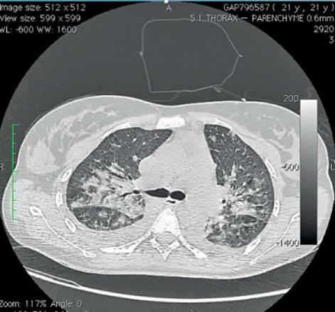
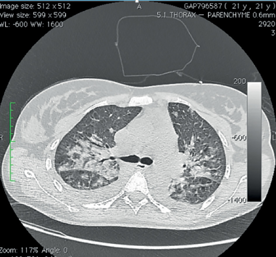
Le scanner cervico-thoracique (fig. 1 et 2 ) montre une thrombose de la veine jugulaire interne gauche ainsi qu’un épanchement pleural bilatéral et une pneumopathie des deux côtés sur emboles septiques, permettant de poser le diagnostic de syndrome de Lemierre.
La patiente est transférée en réanimation pour : oxygénothérapie par Optiflow, antibiothérapie par céfotaxime (Claforan), métronidazole (Flagyl) et linézolide (Zyvoxid), anticoagulation par héparine à dose curative.
L’évolution favorable permet une sortie hospitalière à J15.
À l’examen, il existe une fièvre à 38,6 °C, une cervicalgie gauche avec une attitude vicieuse de la tête tournée vers la droite, ainsi qu’une dyspnée avec une saturation en O2 à 87 % en air ambiant.
Le scanner cervico-thoracique (
La patiente est transférée en réanimation pour : oxygénothérapie par Optiflow, antibiothérapie par céfotaxime (Claforan), métronidazole (Flagyl) et linézolide (Zyvoxid), anticoagulation par héparine à dose curative.
L’évolution favorable permet une sortie hospitalière à J15.
discussion
Le syndrome de Lemierre associe une thrombophlébite d’une veine jugulaire (ou de ses affluents) et une infection ORL ou stomatologique par des bacilles à Gram négatif anaérobies : Fusobacterium necrophorum dans environ 80 % des cas. Il se complique volontiers d’emboles septiques, pulmonaires le plus souvent, mais aussi ostéo-articulaires, hépatiques, cérébraux ou rénaux.
Cette affection est rare. Sa prévalence en population générale serait de 0,8 cas par million.
L’aspect radiologique typique est celui de notre observation. Les abcès pulmonaires, multiples et disséminés par voie hématogène, sont évocateurs. Ils font rechercher une thrombose jugulaire ou de ses collatérales.
Le traitement comporte une antibiothérapie initiale par voie intraveineuse (pénicillines à haute dose et métronidazole) pendant 2 semaines. Le relais par voie orale est pris par amoxicilline + acide clavulanique (Augmentin) pendant 2 à 4 semaines.
L’intervention chirurgicale complémentaire peut être nécessaire pour drainer des abcès ORL ou de la bouche.1
Cette affection est rare. Sa prévalence en population générale serait de 0,8 cas par million.
L’aspect radiologique typique est celui de notre observation. Les abcès pulmonaires, multiples et disséminés par voie hématogène, sont évocateurs. Ils font rechercher une thrombose jugulaire ou de ses collatérales.
Le traitement comporte une antibiothérapie initiale par voie intraveineuse (pénicillines à haute dose et métronidazole) pendant 2 semaines. Le relais par voie orale est pris par amoxicilline + acide clavulanique (Augmentin) pendant 2 à 4 semaines.
L’intervention chirurgicale complémentaire peut être nécessaire pour drainer des abcès ORL ou de la bouche.1
référence
1. Habert P, Tazi-Mezalek R, Guinde J, et al. Pleuro-pneumopathie révélant une thrombophlébite septique de la veine jugulaire : pensez au syndrome de Lemierre. Rev Mal Respir 2016;33:72-7.
Une question, un commentaire ?