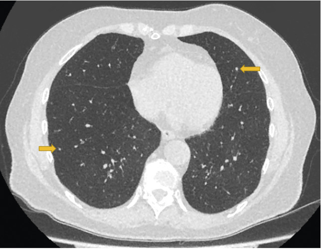
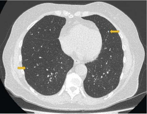
Christiane, 75 ans, consulte pour une toux invalidante, associée à une dyspnée d’effort et des sifflements. Un diagnostic d’asthme tardif a été fait à l’âge de 47 ans, traité par fluticasone à forte dose (1 000 µg/j), salmétérol et montélukast. Malgré le traitement, la toux persiste et la dyspnée s’aggrave progressivement, entraînant une limitation importante dans sa vie quotidienne. Les épreuves fonctionnelles respiratoires objectivent un trouble ventilatoire obstructif non réversible sévère (VEMS 780 ml, soit 36 %, VEMS/CV 40 %) avec une distension thoracique (volume résiduel 198 %). Le scanner thoracique (figure ) révèle des micronodules diffus (flèches jaunes ) et un aspect en mosaïque évoquant une bronchiolite. Après biopsie pulmonaire chirurgicale, l’examen anatomopathologique pose le diagnostic d’hyperplasie neuroendocrine pulmonaire diffuse idiopathique (DIPNECH).
La DIPNECH est une maladie pulmonaire rare, d’étiologie inconnue, liée à la prolifération des cellules neuroendocrines de l’épithélium des voies aériennes¹.
Elle touche les femmes dans plus de 90 % des cas, souvent d’âge moyen, sans antécédent d’intoxication tabagique1. La toux sèche est fréquente, associée à une dyspnée d’effort et liée au développement progressif de l’obstruction bronchique par fibrose péribronchiolaire. L’évolution est volontiers lente, mais des formes sévères, nécessitant une transplantation pulmonaire, ont été rapportées. L’errance diagnostique est courante du fait de ces symptômes évocateurs d’asthme ou de BPCO1.
Le scanner thoracique est l’examen clé pour redresser le diagnostic : il montre des micronodules diffus, ainsi qu’un aspect en mosaïque du parenchyme pulmonaire avec trappage aérien, évoquant une bronchiolite constrictive. Une confirmation histologique par biopsies transbronchiques ou biopsie pulmonaire chirurgicale est indispensable. Elle montre la prolifération des cellules neuroendocrines dans l’épithélium des petites voies aériennes (tumorlets)1.
Le traitement n’est pas codifié. L’utilisation d’un analogue de la somatostatine ou d’un inhibiteur de la voie mTOR (sirolimus) a un effet variable sur les symptômes, notamment la toux, et sur la fonction respiratoire2,3. Les bronchodilatateurs et les corticoïdes inhalés sont souvent utilisés à titre symptomatique.
Des micronodules pulmonaires diffus chez une femme ayant une toux chronique doivent faire évoquer le diagnostic de DIPNECH. Par ailleurs, rappelons qu’absence d’amélioration sous corticoïdes inhalés à fortes doses, aggravation du trouble ventilatoire obstructif et toux sèche isolée sont des éléments qui doivent remettre en cause le diagnostic d’asthme et faire pratiquer un scanner thoracique.
Elle touche les femmes dans plus de 90 % des cas, souvent d’âge moyen, sans antécédent d’intoxication tabagique1. La toux sèche est fréquente, associée à une dyspnée d’effort et liée au développement progressif de l’obstruction bronchique par fibrose péribronchiolaire. L’évolution est volontiers lente, mais des formes sévères, nécessitant une transplantation pulmonaire, ont été rapportées. L’errance diagnostique est courante du fait de ces symptômes évocateurs d’asthme ou de BPCO1.
Le scanner thoracique est l’examen clé pour redresser le diagnostic : il montre des micronodules diffus, ainsi qu’un aspect en mosaïque du parenchyme pulmonaire avec trappage aérien, évoquant une bronchiolite constrictive. Une confirmation histologique par biopsies transbronchiques ou biopsie pulmonaire chirurgicale est indispensable. Elle montre la prolifération des cellules neuroendocrines dans l’épithélium des petites voies aériennes (tumorlets)1.
Le traitement n’est pas codifié. L’utilisation d’un analogue de la somatostatine ou d’un inhibiteur de la voie mTOR (sirolimus) a un effet variable sur les symptômes, notamment la toux, et sur la fonction respiratoire2,3. Les bronchodilatateurs et les corticoïdes inhalés sont souvent utilisés à titre symptomatique.
Des micronodules pulmonaires diffus chez une femme ayant une toux chronique doivent faire évoquer le diagnostic de DIPNECH. Par ailleurs, rappelons qu’absence d’amélioration sous corticoïdes inhalés à fortes doses, aggravation du trouble ventilatoire obstructif et toux sèche isolée sont des éléments qui doivent remettre en cause le diagnostic d’asthme et faire pratiquer un scanner thoracique.
Références
1. Rossi G, Cavazza A, Spagnolo P, et al. Diffuse idiopathic pulmonary neuroendocrine cell hyperplasia syndrome. Eur Respir J 2016;47(6):1829‑41.
2. Al-Tobah T, Strosberg J, Halfdanarson TR, et al. Somatostatin analogs improve respiratory symptoms in patients with diffuse idiopathic neuroendocrine cell hyperplasia. Chest 2020;158(1):401-5.
3. Russier M, Plantier L, Derot G, et al. Diffuse Idiopathic Pulmonary Neuroendocrine Cell Hyperplasia Syndrome Treated With Sirolimus. Ann Intern Med 2018;169(3):197-8.
2. Al-Tobah T, Strosberg J, Halfdanarson TR, et al. Somatostatin analogs improve respiratory symptoms in patients with diffuse idiopathic neuroendocrine cell hyperplasia. Chest 2020;158(1):401-5.
3. Russier M, Plantier L, Derot G, et al. Diffuse Idiopathic Pulmonary Neuroendocrine Cell Hyperplasia Syndrome Treated With Sirolimus. Ann Intern Med 2018;169(3):197-8.
Une question, un commentaire ?
Sur le même thème
Article Web