Cette maladie rare touche le globe oculaire dans sa totalité, et les types d’atteintes sont diverses. L’analyse génétique et le phénotypage oculaire permettent de préciser les atteintes et d’adapter la prise en charge thérapeutique et préventive.
L’aniridie congénitale est une maladie oculaire rare d’origine génétique qui touche le globe oculaire dans sa totalité ; c’est une maladie dite pan-oculaire. La prévalence rapportée varie de 1/40 000 nais- sances à 1/100 000 naissances mais elle est peut-être sous-estimée.1, 2 Elle est caractérisée en partie par l’absence partielle ou complète de l’iris (d’où son nom). L’enfant a le plus souvent un nystagmus, une photophobie et un ptosis. L’aniridie congénitale associe, en plus de l’hypoplasie-aplasie irienne, des anomalies de la cornée, un glaucome, une cataracte et une hypoplasie fovéolaire (fig. 1). L’aniridie est due le plus souvent à une mutation ou délétion du gène PAX6 situé au niveau du chromosome 11 en 11p13. La transmission est autosomique dominante à forte pénétrance. Il existe des cas familiaux et sporadiques. Dans les cas sporadiques, un bilan pédiatrique doit être réalisé à la recherche d’anomalies neuro-psychomotrices, d’anomalies rénales ou génito-urinaires. Des tests génétiques doivent être sys- tématiquement effectués dès le diagnostic ophtalmologique pour mettre en évidence les gènes délétés ou mutés afin d’écarter un éventuel syndrome associé. Selon le type d’anomalie génétique, un syndrome peut être associé à l’aniridie congénitale, tel le syndrome WAGR (qui associe tumeur de Wilms, aniridie, anomalies génito-urinaires et retard mental) ou le syndrome de Gillespie (aniridie, ataxie cérébelleuse, déficience intellectuelle). Les signes de la maladie sont variables d’un individu à l’autre, même au sein d’une même famille. Les patients atteints d’aniridie congénitale ont une basse vision avec un pronostic visuel très réservé à l’âge adulte où ils peuvent avoir des critères de cécité légale. L’intérêt du diagnostic précoce est essentiel pour pouvoir prévenir les complications de la maladie.

Quels signes d’appel ?

Chez le nourrisson, un nystagmus apparaît rapidement après la naissance avec une impression d’errance du regard et une photophobie. De façon particulière, l’enfant a des yeux de couleur noire uniforme sans pupille visible (fig. 2), ce qui peut être particulièrement visible dans les familles avec un phénotype irien bleu. Plus tardivement, un ptosis peut être notable.

Une pathologie complexe et évolutive

L’aniridie congénitale associe plusieurs types d’atteintes oculaires en plus de l’aniridie. Elle regroupe une hypoplasie fovéale, un glaucome, une cataracte et une atteinte progressive de la transparence cornéenne, plus rarement une hypo- plasie du nerf optique.1, 2 L’aniridie a pour conséquence un déficit visuel (l’acuité visuelle moyenne se situant autour de 1 à 2/10e chez le jeune adulte) et une photophobie de sévérité variable qui doit être prise en charge par des verres teintés pour les activités à l’extérieur. Chez l’enfant, la détection d’erreurs de réfraction et d’amblyopie est utile pour adapter une correction optique avec des verres correcteurs teintés pour protéger la rétine. La baisse d’acuité visuelle initiale est principalement causée par l’hypoplasie fovéolaire. La cataracte, le glaucome et l’opacification cornéenne sont évolutifs et entraînent une dégradation progressive de l’acuité visuelle.
L’atteinte cornéenne à type de kératopathie fréquente est due à une insuffisance limbique évolutive depuis l’enfance responsable d’opacités variables. Elle nécessite la prescription d’agents mouillants sans conservateurs, cependant les opacités cornéennes peuvent s’aggraver jusqu’à une cornée blanche et néovascularisée malgré les nombreuses options thérapeutiques employées (fig. 3).
Le glaucome est l’une des complications les plus fréquentes de l’aniridie, due à l’anomalie de l’angle irido- cornéen qui réduit la résorption de l’humeur aqueuse en entraînant une élévation de la pression intra-oculaire (PIO). La mesure de la pression doit être réalisée régulièrement pour dépister précocement le glaucome et le traiter.
L’opacification du cristallin est souvent limitée à des opacités non obturantes chez l’enfant revêtant plus rarement une forme de cataracte congénitale obturante. Lors de l’apparition d’une cataracte obturante, une chirurgie du cristallin à type de phaco-exérèse est nécessaire mais en connaissant les risques accrus de complications lors de la chirurgie et de la décompensation de la cornée qui peut en découler. L’implant cristallinien placé est classique sans diaphragme irien qui augmente les risques de glaucome.
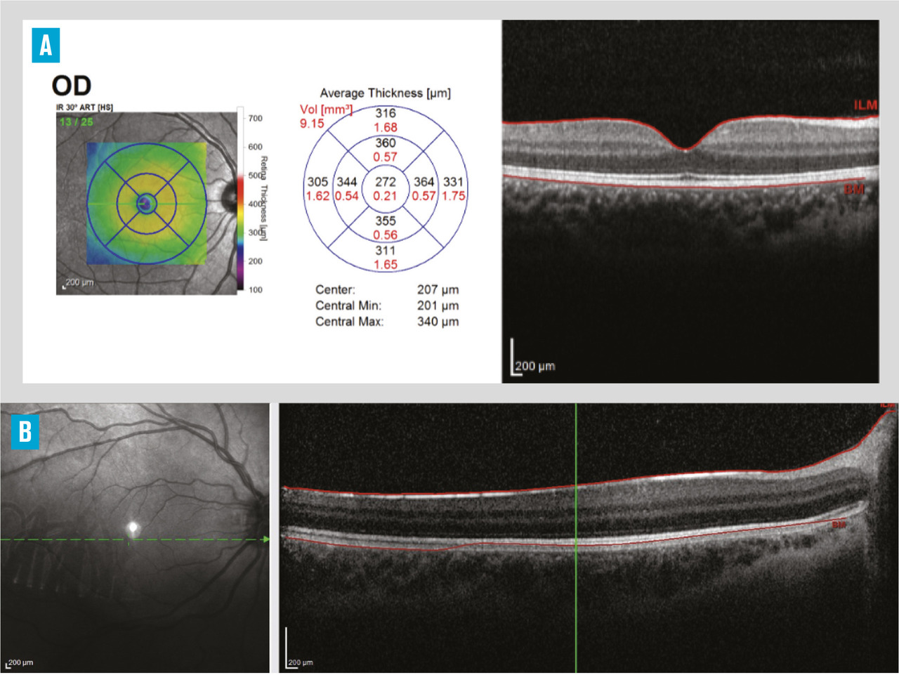
L’hypoplasie fovéolaire, quasi systématique, est évaluée grâce à une tomographie en cohérence optique (OCT) [fig. 4].
Lorsque le nystagmus et la transparence cornéenne le permettent, de nombreux examens complémentaires ophtalmologiques peuvent être réalisés pour mieux caractériser la maladie tels, de façon non exhaustive, que : champ visuel, OCT antérieure et postérieure, vidéotopographie, pachymétrie, ultrasound biomicroscopy (UBM), rétinographie, rétinographie grand champ. Ils permettront aussi de suivre la maladie et ses complications de façon fiable.
Chez l’enfant, un examen à pratiquer sous anesthésie générale est nécessaire pour effectuer un phénotypage complet et dépister les complications potentielles.
La déficience visuelle et la photophobie entraînent un handicap visuel avec des difficultés pour la mobilité, les déplacements, la communication, les apprentissages, la motricité fine, l’autonomie, avec des conséquences dans la vie scolaire, professionnelle, socioculturelle et sportive. La rééducation fonctionnelle et certaines aides techniques peuvent pallier ces situations de handicap en apportant une meilleure qualité de vie au patient. L’évolution de la recherche clinique sur les cellules souches cornéennes et la thérapie génique permettent d’espérer de mieux traiter l’atteinte oculaire et d’améliorer la qualité de vie des patients.3

Y a-t-il d’autres anomalies ?

Lors du diagnostic d’une aniridie congénitale dans un cadre familial individualisé avec anomalie connue du gène PAX6, l’examen pédiatrique est effectué comme classiquement. Lors du diagnostic d’une aniridie congénitale sporadique, il faut rechercher rapidement des anomalies neuro-psychomotrices, anomalies rénales et génito-urinaires. En attendant les résultats des tests génétiques, il faut demander une échographie rénale au moins tous les 3 mois du fait du risque de néphroblastome dans le cadre du syndrome WAGR. Le pédiatre et le médecin généraliste restent en lien avec l’ophtalmologiste pour évaluer la fonction visuelle. Une prise en charge de l’enfant par la maison départementale des personnes handicapées est le plus souvent requise.
Chez certains patients des anomalies systémiques peuvent être associées. Des anomalies cérébrales incluant le corps calleux et le système auditif et olfactif sont parfois observées ; elles doivent alors être évaluées si possible par un neuro- pédiatre. Chez l’adulte, le risque de diabète précoce est plus élevé et impose une surveillance régulière de la glycémie.

Que doit-on éliminer ?

Dans les cas sporadiques, des tests génétiques doivent être systématiquement effectués dès le diagnostic ophtalmologique. Ils permettent de mettre en évidence une délétion du gène PAX6 situé en 11p13 (fig. 5) ou de rechercher les mutations génétiques de PAX6 ou d’un autre gène afin d’écarter un éventuel syndrome associé.4 La délétion et le syndrome WAGR éliminés, la surveillance échographique rénale peut être interrompue.

Syndrome WAGR

Le syndrome WAGR, très rare, associe un néphroblastome (tumeur rénale dite tumeur de Wilms), une aniridie, des anomalies génito-urinaires et un retard mental. Dans ce cas l’anomalie génétique est due à une délétion élargie de PAX6 et du gène WT1 suppresseur de tumeur. Le pronostic neurologique et le pronostic oculaire sont très réservés.

Syndrome de Gillespie

Le syndrome de Gillespie, très rare lui aussi, associe une ataxie cérébelleuse, un retard intellectuel avec une aniridie partielle réalisant une pupille en mydriase fixe.5 Dans la première année de vie, l’enfant est très hypotone. La recherche de mutations génétiques du gène ITPR1 est alors essentielle pour porter le diag- nostic. La transmission génétique est variable, autosomique récessive ou dominante. Dans ce cas, le pronostic oculaire est meilleur tandis que le pronostic neurologique est plus réservé.

Quel bilan génétique ?

Le phénotypage précis de l’aniridie permet d’orienter le diagnostic. Un arbre généalogique doit être établi. Dans plus de 90 % des cas, des mutations du gène PAX6 sont à l’origine de la pathologie. Dans un premier temps il faut éliminer rapidement une délétion de PAX6 qui s’étendrait au gène WT1 entraînant un syndrome WAGR. La possibilité de séquençage haut débit, sous la forme de séquençage ciblé de panels multigéniques, effectué dans certains centres de génétique moléculaire permet le diagnostic des variants pathogènes du gène PAX6 ou des autres gènes possiblement responsables de l’aniridie congénitale. D’autres gènes comme FOXC1, PITX2, CYP1B1, FOXE3, RARB, ITPR1… peuvent aussi être responsables d’aniridie congénitale. L’association entre le phénotypage complet et le génotypage permet de poser un diagnostic précis. Une fois le gène identifié, les membres atteints de la famille doivent bénéficier d’un conseil génétique et être avertis des mesures préventives sur la pathologie. Il est aussi possible de pratiquer un dépistage anténatal.

OPTIMISER LE DIAGNOSTIC

L’aniridie congénitale est une maladie rare génétiquement déterminée touchant le globe oculaire dans sa totalité et entraînant un handicap visuel le plus souvent sévère. Les complications se développent au cours de la vie pouvant aboutir à une cécité. Les complications les plus sévères sont le glaucome et la kératopathie, la cataracte pouvant bénéficier d’une chirurgie. Les aniridies syndromiques comme le syndrome WAGR et le syndrome de Gillespie nécessitent d’être reconnues et diagnostiquées de concertation avec un pédiatre pour une prise en charge optimale. L’analyse génétique apporte une confirmation et des précisions sur le diagnostic. Le phénotypage oculaire précis permet une optimisation du diagnostic, une connaissance du pronostic et ainsi d’adapter la prise en charge thérapeutique ainsi que le traitement préventif. V
Encadre

Centres de référence des maladies rares en ophtalmologie

L’aniridie congénitale est une maladie rare qui nécessite un bilan dans un centre de référence des maladies rares en ophtalmologie. La filière SENSGENE regroupe en France cinq centres de référence des maladies rares en ophtalmologie qui coordonnent des centres constitutifs et des centres de compétences répartis sur le territoire français métropolitain et outremer. Certains centres de référence européens sont aussi reliés par le réseau européen European reference network on rare eye diseases (ERN). Le centre de référence détermine la fréquence, les modalités et le médecin référent pour optimiser la prise en charge de l’aniridie, la prévention des complications secondaires et la surveillance. Une transition de la prise en charge enfant-adolescent-adulte est souvent nécessaire. OPHTARA Centre de Maladies Rares en Ophtalmologie et Centre Européen ERN EYE, est un des 5 centres de la filière.

en savoir plus
1. Landsend ES, Utheim ØA, Pedersen HR, Lagali N, Baraas RC, Utheim TP. The genetics of congenital aniridia-a guide for the ophthalmologist. Surv Ophthalmol 2018;63:105-13.

2. Lee HJ, Colby KA. A review of the clinical and genetic aspects of aniridia. Semin Ophthalmol 2013;28:306-12.

3. Bremond-Gignac D, Copin H, Benkhalifa M. Corneal epithelial stem cells for corneal injury. Expert Opin Biol Ther 2018;9:1-7.

4. Hingorani M, Hanson I, van Heyningen V. Aniridia. Eur J Hum Genet 2012;20:1011-7.

5. Gerber S, Alzayady KJ, Burglen L, et al. Recessive and dominant de novo ITPR1 mutations cause Gillespie syndrome. Am J Hum Genet 2016;98:971-80.

OPHTARA, centre de référence des maladies rares en ophtalmologie, filière SENSGENE, Centre rare eye disease european rare disease network.

PNDS sur l’aniridie en cours de rédaction qui sera disponible sur le site de la Haute Autorité de santé.

http://www.maladiesrares-necker.aphp.fr/ophtara/

http://www.sensgene.com/les-centres-de-reference/ophtara-centre-de-reference-maladies-rares-en-ophtalmologie

GENIRIS, association nationale loi 1901, sur l’aniridie et les pathologies rares de l’iris avec ou sans syndromes associés www.geniris.fr/

ANIRIDIA EUROPE, European non-governmental and non-profit federation on aniridia.

https://www.aniridia.eu

Dans cet article

Ce contenu est exclusivement réservé aux abonnés

Résumé Aniridie congénitale de l’enfant

L’aniridie congénitale est une maladie rare d’origine génétique qui touche le globe oculaire dans sa totalité (maladie pan-oculaire). Elle est caractérisée en partie par l’absence partielle ou complète de l’iris. L’enfant a essentiellement une photophobie et un nystagmus. La prévalence varie de 1/40 000 à 1/100 000 naissances mais elle est peut-être sous-estimée. Elle peut aussi être associée à d’autres atteintes systémiques constituant alors une aniridie syndromique. Ces différents syndromes sont à dépister rapidement du fait de risque de néphroblastome dans le syndrome WAGR (tumeur de Wilms, aniridie, anomalies génito-urinaires, retard mental) ou d’ataxie cérébelleuse dans le syndrome de Gillespie. Le diagnostic est majoritairement porté chez le nourrisson. L’aniridie congénitale associe plusieurs types d’atteintes oculaires, telles qu’une aniridie, une hypoplasie fovéale, un glaucome, une cataracte, une atteinte progressive de la transparence cornéenne. Des traitements préventifs doivent être institués et tous les aspects oculaires de la maladie doivent être pris en charge. Cette affection entraîne souvent un handicap visuel majeur, voire une cécité à long terme et nécessite une protection oculaire par verres teintés. La recherche clinique est active sur les cellules souches cornéennes et la thérapie génique.