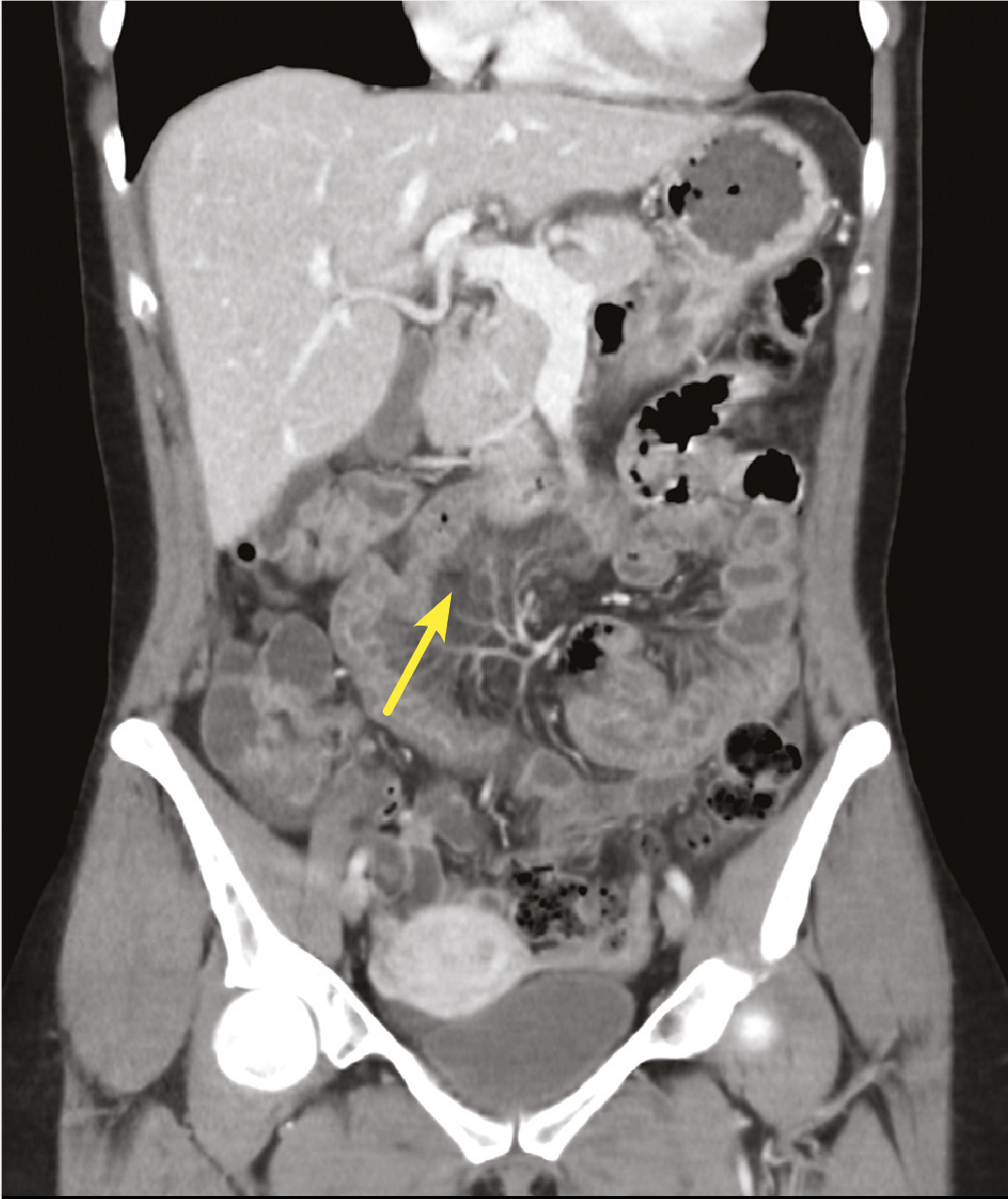
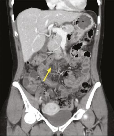
Cette femme de 49 ans consultait aux urgences pour des douleurs abdominales intenses et diffuses depuis 48 heures, sans arrêt des matières ni des gaz et sans vomissements. Cette patiente hypertendue, traitée, signalait la prise de ramipril depuis 48 heures. L’hémogramme montrait une hyperleucocytose à polynucléaires neutrophiles ; la protéine C-réactive était normale. La tomodensitométrie abdominopelvienne (TDM) notait une jéjuno-iléite étendue avec épanchement péritonéal de moyenne abondance sans cause évidente (v. figure ). La patiente était hospitalisée. Un repos digestif et des antalgiques de palier 2 puis 1 permettait une évolution rapidement favorable, la réalimentation à 48 heures, avec reprise du transit digestif et retour à l’état antérieur sans séquelles. Le bilan biologique avec dosage C1 inhibiteur, C3, C4, et ANCA était négatif. L’électrophorèse des protides sériques retrouvait une hypoalbuminémie modérée. La sérologie des Yersinia était négative. Le diagnostic d’angiœdème induit par les inhibiteurs de l’enzyme de conversion (IEC) contre-indiquait définitivement la prescription de cette classe médicamenteuse.
L’angiœdème sous inhibiteur de l’enzyme de conversion est un effet indésirable assez fréquent retrouvé chez 1 % des patients traités.1 Cependant, un tableau abdominal est peu fréquent. Dans une étude portant sur les hospitalisations liées à cette pathologie au Portugal de 2009 à 2013, seulement 7 % des patients déclaraient une atteinte abdominale2 avec une errance diagnostique fréquente, pouvant conduire à des prises en charge invasives, voire des chirurgies inutiles.3 Le traitement est l’éviction médicamenteuse. Les corticoïdes, les antihistaminiques et l’épinéphrine sont peu efficaces. Pour les cas sévères touchant la sphère oro-pharyngée, un traitement par icatibant ou un concentré de C1 est indiqué.4
Références
1. Perza M, Koczirka S, Nomura JT. C1 esterase inhibitor for ace-inhibitor angioedema: a case series and literature review. J Emerg Med 2020;58:e121-e127.
2. Cosme J, Spínola A, Ferreira MB, Barbosa MP. Hospitalizations due to angioedema without urticaria in a Portuguese Center: five year retrospective study. Acta Med Port 2019;32:714 20.
3. Palmquist S, Mathews B. Isolated intestinal type angioedema due to ACE-inhibitor therapy. Clin Case Rep 2017;5:707‑10.
4. Montinaro V, Cicardi M. ACE inhibitor-mediated angioedema. Int Immunopharmacol 2020;78:106081.
2. Cosme J, Spínola A, Ferreira MB, Barbosa MP. Hospitalizations due to angioedema without urticaria in a Portuguese Center: five year retrospective study. Acta Med Port 2019;32:714 20.
3. Palmquist S, Mathews B. Isolated intestinal type angioedema due to ACE-inhibitor therapy. Clin Case Rep 2017;5:707‑10.
4. Montinaro V, Cicardi M. ACE inhibitor-mediated angioedema. Int Immunopharmacol 2020;78:106081.
Une question, un commentaire ?
Sur le même thème
Article