Un homme de 65 ans consulte pour une tuméfaction anale et des saignements évoluant depuis plusieurs semaines.
L’examen clinique met en évidence un nodule induré au niveau de la marge anale (fig. 1).

L’adénocarcinome de l’anus est un cancer rare (moins de 10 % des cancers de l’anus). Il apparaît le plus souvent au niveau de l’épithélium glandulaire ou des glandes du canal anal, plus rarement au niveau de la peau périanale. Une fistule anale chronique et la maladie de Crohn sont des facteurs favorisants.

La maladie de Paget est un cas particulier, pouvant être « primitive » ou « secondaire » à l’extension de contiguïté d’un carcinome du canal anal ou de la vulve ou à la propagation à l’anus d’un cancer viscéral synchrone distant, notamment colorectal, urogénital, mammaire ou nasopharyngé. 

La symptomatologie est non spécifique. Il peut s’agir d’une sensation de boule, de douleurs, de saignements, de suintements, etc. L’examen clinique peut révéler une lésion bourgeonnante et/ou ulcérée, mais aussi une fistule, voire des papules érythémateuses plus ou moins kératosiques en cas de maladie de Paget.

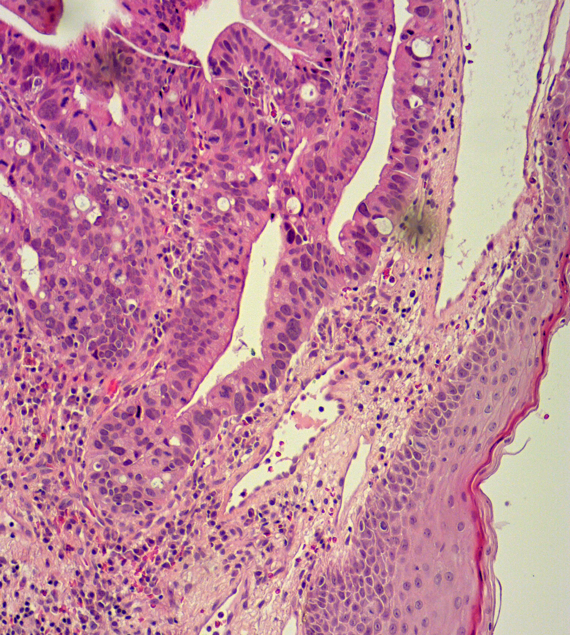
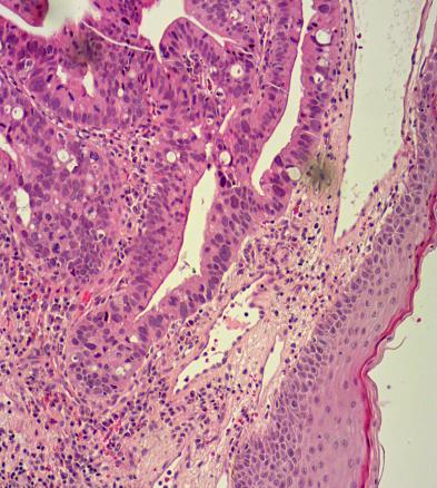
Les principaux diagnostics différentiels sont la thrombose hémorroïdaire externe, le prolapsus hémorroïdaire -interne, la marisque hypertrophique et le carcinome épidermoïde en cas de nodule. En cas de maladie de Paget, ce sont le psoriasis, les mycoses, l’eczéma de contact, les -dermites d’irritation, le lichen plan ou scléro-atrophique et la  maladie de Bowen. Le diagnostic formel nécessite une analyse histologique (fig. 2). 

Le traitement repose principalement sur la radiochimiothérapie et/ou l’exérèse chirurgicale en cas d’atteinte localisée, et sur la chimiothérapie en cas d’atteinte métastatique.

Pour en savoir plus
Anwar S, Welbourn H, Hill J, et al. Adenocarcinoma of the anal canal - a systematic review. Colorectal Dis 2013;15:1481-8.
Taliadoros V, Rafique H, Rasheed S, et al. Management and outcomes in anal canal adenocarcinomas - A systematic review. Cancers (Basel) 2022;14:3738.

Une question, un commentaire ?